정상심장의 구조와 혈액순환
상대정맥,하대정맥->우심방->우심실->폐동맥->폐에서 산소를 받고->폐정맥->좌심방->좌심실->상행대동맥->전신으로순환
온몸으로 나간 피는 다시 상대정맥, 하대정맥으로 우심방으로 들어오는, 이렇게 반복하는 것이 정상심장의 흐름입니다.
(1) 두심방이 하나의 심실로 연결되는 기형(double inlet ventricle)
(2) 하나의 심방-심실연결이 없는 경우(mitral atresia/ tricuspid atresia)
(3) 공통방실판막과 함께 한쪽 심실만이 잘 발달되어 있는 경우 (unbalanced AVSD)
(4) 한쪽 심실만 잘 발달 되어 있는 내장역위증후군 (single ventricle heterotaxia syndrome)
(5) 나머지 드문 형태의 단심실
기능성단심실의 분류
(1) 만성 저산소증 : 전신순환과 폐순환을 거친 혈액이 심장 내에서 서로 혼합되어 환자는 청색증을 보이게 되며, 만성적으로 저산소증에 노출이 되면 적혈구 과다증이 발생하고, 이로 인해 두통이나 전신의 혈전,
색전증 등의 여러가지 합병증이 발생할 수 있습니다.
(2) 용적 과부화 : 전신순환과 폐순환을 거친 혈액이 하나의 심실내로 유입이 되기 때문에 단심실에는 용적의 과부하가 발생하고, 이로 인해 심실이 늘어나고 판막의 역류가 발생할 수 있으며
심실의 수축력도 떨어지게 됩니다.
(3) 폐동맥의 혈류 증가 : 폐동맥의 협착이 없는 단심실의 경우 폐동맥의 혈류가 크게 증가하여 조기에 심부전과 폐동맥 고혈압 등의 합병증이 발생하게 되어 장기간 생존을 기대할 수 없습니다.
단심실의 만성 저산소증과 용적 과부하를 해결하기 위해 폐순환과 전신 순환을 분리하고 폐순환은 심실을 우회하도록 하는 폰탄 수술을 하게 됩니다. 1971년 프랑스 의사인 폰탄 (Fontan)에 의해 삼첨판막 폐쇄 환자에서 우심방과 폐동맥을 연결하는 폰탄수술이 시행된 이래 수술 방법이 점차 발전되어 왔습니다. 보통은 다음과 같이 3단계에 걸쳐 폰탄 수술이 완성됩니다.
1단계(생후 2~3주) 체-폐동맥 단락술 또는 폐동맥밴딩
(1) 폐혈류가 감소되어 있는 경우
폐혈류를 증가시키기 위해 대동맥의 분지 혈관(무명동맥)에서 폐동맥으로 인조 혈관을 연결하는 체-폐동맥 단락술을 시행합니다.

폐혈류 감소
(2) 폐혈류가 증가되어 있는 경우
폐혈류가 증가되면 폐혈관의 압력이 증가하여 폰탄수술을 시행 할 수 없게 되므로 폐동맥의 크기를 줄여주는 수술을 시행합니다.

폐혈류 증가
2단계(3~6개월)양방향성 상대정맥-폐동맥 단락술 : 상지 및 머리 쪽에서 산소교환을 마친 정맥 혈액이 우심방과 우심실을 우회하여 상대정맥을 통해 바로 폐동맥으로
가도록 혈관을 연결합니다.
이 시술은 생후 3~6개월 사이에 시행합니다.
이 시기는 환자의 머리가 몸 전체 크기에 비해 상대적으로 크기 때문에 상체로부터 전신 정맥혈의 양이 전체 전신 정맥 환류량의 절반 가량이 됩니다.
즉 , 전체 순환량의 절반 정도가 폐로 보내져 산소화되므로 청색증이 해소될 수 있습니다. 하지만 환자가 성장하면서 상체의 정맥 혈의 양이 상대적으로 줄어들어
청색증이 진행함으로 3단계 수술인 하대정맥-폐동맥 단락술이 필요합니다.
(1) 상대정맥-폐동맥 단락술 후의 모습

상대정맥-폐동맥 단락술 후의 모습
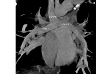
(2) 상대정맥-폐동맥 단락술 후의 CT 소견

상대정맥-폐동맥 단락술 후의 CT 소견
3단계(2~3세) 폰탄수술 : 하지 및 복부쪽에서 산소교환을 마친 정맥 혈액이 하대정맥과 간정맥을 통해 바로 폐동맥으로 가도록 인공 혈관을 연결합니다.
(1) 폰탄수술 후의 모습

폰탄수술 후의 모습
(2) 폰탄수술 후의 CT 소견

폰탄수술 후의 CT 소견
폰탄수술은 2,3세 경에 시행합니다.
심장 내 수술이 필요하지 않은 경우에는 심장을 열지 않고 인조 혈관을 하대정맥과 폐동맥에 연결하는 심장외도관 폰탄 수술시행합니다.
수술 전 위험 인자가 있거나 수술 직후 폐동맥 압력이 높은 경우에는 폰탄 도관과 심방사이에 창을 만들어 폐를 우회하게 할 수 있습니다.
폰탄 인조혈관과 우심방 사이에 새로운 인조혈관이 연결되어있습니다. 이를 폰탄 창이라고 합니다. 폰탄 순환은 상,하대정맥이 우심실을 우회해서 폐동맥에 연결되어
있는데, 폐 상태가 좋지 않으면 폰탄 순환이 어려워지게 됩니다. 폰탄창이 있음으로해서 폐순환을 거치지 않고 대정맥에서 바로 심방으로 우회하여 전신 순환이 되기 때문에
산소 농도는 다소 감소하더라도 전신 순환이 더 원활할 수 있습니다.
단심실의 용적과부하와 만성 저산소증을 해결할 수 있는 혈액 순환 구조로 변경하는 것이 최선입니다.
기능할 수 있는 심실이 하나 밖에 없는 단심실 환자에서 정상 심장처럼 직렬 순환이 되게 하고 전신-폐순환을 완전하게 분리할 수 있는 혈액 순환 구조는 우심장을
우회하는 방법입니다.
상, 하대정맥을 우심방과 우심실을 우회하여 바로 폐동맥에 연결하면 이론적으로 정상 혈액 순환 형태입니다.
이때 중요한 것이 우심실의 심박출 기능 대신 전신 정맥혈의 정수압으로 폐혈류가 유지되어야 합니다.
대정맥에서 우심실의 펌프 작용없이 폐순환이 원활이 이루어지려면 폐혈관의 저항값이 낮아야 합니다.
대정맥 혈액이 폐동맥을 통해 폐순환을 거쳐 폐정맥을 통해 심장으로 혈액이 돌아오려면 폐혈관을 쉽게 통화애야 하는데 이것이 폐저항겂입니다
우심실을 우회하는 수술은 폐혈관의 저항값을 고려해서 어린 소아에서는 시행될 수 없습니다.
폐혈관 발달 등의 이유로 상,하 대정맥 모두를 폐동맥에 연결하는 폰탄수술은 2~3세 경에 가능합니다. 폰탄수술은 통상 3단계에 나누어 완성됩니다.
폰탄수술은 완벽한 수술이 아님을 알아야 합니다.폰탄수술을 받은 환자의 대부분은 오랜기간 동안 약물 치료가 필요합니다.
수술 후에는 일상생활에 큰 문제가 없고, 학업 수행에도 큰 문제가 없는것으로 알려져 있습니다. 적당한 운동이 필요하지만 과격한 운동은 제한해야 합니다.
(1) 간기능의 이상
혈액 검사 및 간초음파 검사를 정기적으로 시행합니다. 초음파 상에서 간의 종괴가 확인되면 CT 또는 MRI를 시행하여 종괴의 성상을 확인하고,
그 결과에 따라 필요할 경우에 치료를 시행하게 됩니다.
(2) 부정맥
정기적으로 심전도를 시행하여야하며 두근거리는 증상이 있는 경우 24시간 활동 심전도 또는 운동부하심전도 검사를 시행하기도 합니다.
(3) 심실기능의 저하
정기적으로 심초음파를 시행하여 심실의 기능을 평가하며 심실의 기능이 저하된 경우에는 심도자술, MRI 등의 정밀 검사가 필요할 수 있습니다.
필요한 경우에는 심부전에 대한 약물 치료를 시행하며, 약물 치료에도 불구하고 심실 기능의 저하가 심한 경우에는 심이식을 고려해 볼 수 있습니다.
(4) 운동능력의 감소
폰탄수술을 받은 환자에서는 일반인에 비해 운동능력이 감소되어 있는 경우가 많습니다. 따라서 정기적으로 운동심폐기능 검사를 시행하여 운동능력에 대한 평가를 시행합니다.
(5) 혈전, 색전증
인공 혈관이 있을 뿐만 아니라 혈액의 흐름이 느리기 때문에 혈전증의 발생 위험이 높아 aspinin과 같은 항혈소판제의 사용이 필요하며, 고위험군에서는 항응고제를 사용하기도합니다.
(6) 단백소실장염
폰탄수술을 받은 환자에서 드물게 발생하는 심각한 합병증으로 전신 부종의 증상이 있으면서 혈액검사 상 알부민이라는 단백질의 혈청 농도가 낮은 경우에 의심을 하게 되며
확진을 위해서는 대변으로 배출되는 단백질의 양을 측정해야 합니다.
단백소실장염이 발생하게 되면 영양상태가 불량해지고, 감염의 위험이 증가하며,복수나 부종 등의 임상증상으로 인해 추가적인 약물투여가 필요하게 됩니다.
(7) 청색증이 다시 발생한 경우
체정맥과 심방 또는 폐정맥의 연결이 발생하였을 가능성이 있으므로 이에 대한 평가 및 치료를 위해 심도자술이 필요할 수 있습니다.
(8) 인공 혈관의 협착
인공 혈관의 협착이 의심되면 CT검사와 심도자술이 필요합니다. 인공 혈관의 협착이 확진되면 스텐트 삽입 시술 또는 인공 혈관의 교체 수술이 필요할 수 있습니다.
태생기에 대동맥과 폐동맥사이에 동맥관은 태아에게서 전신 순환을 위해 꼭 필요한 혈관입니다.
태아 순환에서 심박출량의 2/3를 차지하지만, 정상적으로는 출생과 동시에 폐쇄의 과정이 시작됩니다. 출생과 동시에 자발 호흡에 의해 동맥혈의 산소분압이 높아지고,
프로스타글란딘(prostaglandin) 수치가 낮아지게 되어 동맥관의 평활근이 수축하게 됩니다. 이어서 동맥관 내막이 상호접촉하면서 혈전이 형성되고,
결국은 섬유화되어 영구적인 폐쇄에 이르게 됩니다.
동맥관은 출생 후 24시간 이내에 기능적인 폐쇄가 이루어지지만, 조산아의 경우 산소에 대한 동맥관 조직의 반응이 미성숙하여 폐쇄가 늦어지게 됩니다. 동맥관 개존증은
1,600명의 만기 출생아 중 1명에서 발병하는 것으로 알려져 있으며 여아에게서 2배 정도 높은 발생 빈도를 보입니다.
조산아에서 발생빈도가 더 높아서 재태연령 34~36주에 출생한 경우 21%, 31~33주에 출생한 경우 44%, 28~30주에 출생한 경우 77%에서 발견 됩니다.
(1)증상의 발현 시기 및 정도는 동맥관의 크기와 좌-우 단락의 양에 따라 달라집니다.
(2)대부분의 환자는 증상이 없으며, 특징적인 심잡음에 의해 진단이 되기도 합니다.
(3)중등도 이상 크기의 동맥관 환자의 경우 조기에 증상이 발현될 수 있습니다.
신생아기 이후 폐동맥 혈관저항이 감소하여 동맥관을 통한 좌-우 단락이 증가하면, 좌심실은 용적 과부하를 받게 되고, 좌심방 및 좌심실의 용적이 늘어나게 됩니다.
또한 이완기 전신 동맥 압력이 낮아져 관상동맥을 통한 혈류가 부족하여 좌심실의 보상 능력이 떨어지게 됩니다.
이 경우 일반적으로 좌심실 기능 저하로 빈호흡, 빈맥, 경구섭취부진, 운동능력감소, 잦은 상기도 감염, 성장 부진등의 증상을 보입니다.
지속적인 폐혈류 증가로 폐동맥 고혈압, 좌 심부전, 폐부종 등으로 우심실이 압력 과부하를 받게 되어 우 심부전에 의한 증상을 보일 수 있으며, 아이젠맹거 증후군까지 진행하면 저 산소증을 보일 수 있습니다.
심장 초음파 검사를 통해 동맥관의 해부학적인 위치나 모양, 동맥관을 통한 단락 혈류의 방향 등을 비교적 정확히 평가할 수 있습니다.
신생아나 영유아에서 심장 내부의 결손 병변과 폐동맥 고혈압이 동반된 경우에는 동맥관 개존증이 있더라도, 동맥관을 통한 혈류가 관찰되지 않을 수 있습니다.
혈류가 관찰되지 않더라도 심초음파 검사에서 심실중격의 편평화나 설명이 되지 않는 우심실비대, 고속의 혈류를 보이는 폐동맥 판막 폐쇠부전 등을 보이게 되면,
동맥관개존증을 의심할 수 있으며 수술시 꼭 동맥관을 확인하여 처리해주어야 합니다.
대혈관전위증 진단
1. 약물적 폐쇄요법
조산아의 경우 산소에 대한 민감도가 떨어지고, 프로스타글란딘의 이완 기능이 더욱 활발하여 출생과 함께 동맥관이 정상적으로 닫히는 것을 반행해
만삭 출생아에 비해 동맥관 개존의 빈도가 높습니다. 프로스타글란딘 합성요소를 억제하는 indomethacin 이나 ibuprofen을 투여합니다.
약물 치료와 관련해서 일시적인 신기능 부전이나 소화기계 출혈이 중요한 부작용으로 알려져 있습니다. 환아가 고빌리루빈 혈증이나 신부전, 폐혈증, 응고기능 장애를
가진 경우 인도메타신 투여가 금기이므로 외과적 폐쇄술을 고려해야합니다.
2. 기구를 이용한 동맥관 폐쇄
시술 후 동맥관의 높은 완전한 폐쇄율을 보이고 있으며 기구의 발전과 시술자의 기술향상으로 그 결과 역시 점차 향상되고 있습니다.
[시술전]
[시술후]
1. 정중흉골절개술
성인환자에서 동맥관이 석회화되어 있거나, 과거의 수술로 유착이 심해 동맥관을 안전하게 박리하기 어려운 경우에는 정중흉골절개후 심폐 바이패스 하에
폐동맥을 통해 패치로 동맥관을 막습니다.

개흉술을 위한 환자의 자세

좌측 3번째 혹은 4번째 늑간 사이
2. 동맥관 결찰술

동맥관 결찰술 수술전

동맥관 결찰술 수술후
3. 동맥관 분리술

동맥관 분리술 수술전

동맥관 분리술 수술후
심방과 심실의 연결은 일치되고 심실과 대혈관 사이의 연결관계가 불일치 되어있는 심기형을 말합니다.
대동맥은 우심실에서 기시하고 폐동맥은 그 반대로 좌심실에서 기시합니다.
모든 선천성 심기형의 5~7% 빈도로 발생하며 심장기형 중 활로사징에 이어 두번째로 흔힙니다.
남자에서 약 3:1로 발생빈도가 높으며 약 10%의 환자에서는 다른 장기의 기형이 동반됩니다.
치료를 받지 않는 경우 45%의 환아가 출생 1개월 내에 사망하고 85%의 환아가 6개월 이내에 사망하며 1년 내에 90%의 환아가 사망합니다.
보통 심장초음파검사만으로 대혈관 전위의 진단과 치료에 필요한 해부학적 기능적 정보를 충분히 얻을 수 있습니다.

대혈관전위증 진단
대혈관전위증 진단
(1) 단순 완전대혈관전위증
심실중격결손이나 폐동맥협착이 없는 경우로 심방 간의 교통이 충분하지 않으며 혈액의 mixing이 되지 않아 심한 저산소증이 초래될 수 있습니다.

단순 완전대혈관전위증
(2) 심실중격결손이 동반된 경우
심실중격결손을 통해 폐혈류가 증가되어 청색증은 없는 대신 심부전 증상을 보입니다.

심실중격결손이 동반된 경우
(3) 심실중격결손 + 폐동맥협착
동맥관이 열려있는 동안에는 문제가 되지 않지만 동맥관이 자연 폐쇄되면 폐동맥 협착의 정도에 따라 청색증의 정도가 결정됩니다.

심실중격결손 + 폐동맥협착
방실 판막 주변에 방실 중격의 불완전한 발달로 공통 방실 접합무 및 방실판막 자체의 이상소견을 보이는 기형입니다.
(1) 방실중격 : 정상 심장에서 좌,우 심방과 심실이 만나는 부위에서 좌심실과 우심방을 나누는 아주 작은 부위를 말합니다.
발생학적으로 이 부위에 발달에 문제가 있으면 실중격결손이 생기고, 방실판막의 이상이 동반됩니다.
(2) 방실판막 : 심방과 심실 사이에 위치한 판막으로 통상 오른쪽에 삼첨판막과 왼쪽에 승모판막이 있습니다.
하지만, 방실중격결손 환자에서는 방실중격의 결손과 함께 삼첨판막과 승모판막에 해당하는 판막의 변형이 생겨서 방실판막이 형성됩니다.

정상방실중격

방실중격결손이 있는경우
공통방실판막의 구성 : 특히 완전방실중격결손의 경우 방실판막이 나누어져 있지 않고 하나의 구멍으로 심방에서 좌심실과 우심실로 혈류가 이동하게 됩니다.
보통 공통판막은 양쪽 심실에 걸쳐있는 전엽, 후엽과 각각의 심실 측면으로 있는 좌,우 벽엽으로 구성되어있습니다.

공통방실판막엽 및 심실중격

공통방실판막 전엽을 펼칠 때
실제수술시 관찰되는 공통방실판막의 모양

공통방실판막이 열렸을때

공통방실판막이 닫혔을때
1. 부분 방실중격결손
(1)좌우 각각의 입구를 가진 방실판막과 일차공 심방중격결손으로 구성되어있습니다.(심실중격결손은 없음)
(2)방실판막 전엽과 후엽이 서로 연결되어 심실중격능선에 붙어 있어 심실중격결손이 없습니다.
(3)전엽과 후엽이 서로 만나는 좌측 끝 틈이 형성되어 있습니다.
2. 완전 방실중격결손
(1)공통방실판막과 일차공 심방중격결손 및 심실중격결손으로 구성되어있습니다.
(2)방실판막의 전엽과 후엽이 서로 분리되어 있고 그 아래로 심실중격결손이 존재합니다.

공통방실판막엽 및 심실중격

공통방신판막 전엽을 펼칠 때
(1) 진단 : 심장 초음파 검사는 방실중격결손의 진단에 가장 중요하고 유용한 검사로서, 자세한 해부학적, 혈역학적 정보를 알 수 있습니다.
방실판막의 이상 소견, 좌측 방실판막 유두근의 형태 및 갯수, 심방 및 심실중격결손의 형태 및 크기, 동반된 심기형
(좌상대정맥, 동맥관 개존, 좌심실 유출로 협착 등)을 평가합니다.
도플러 검사로 단락의 정도와 방실판막 역류의 정도를 평가합니다.
부분 방실중격결손
완전 방실중격결손
(2) 부분방실중격결손
- 증상이 없는 경우 2~4세 경에 수술하는 것이 일반적이나, 의미있는 방실 판막 역류가 있는 경우에는 더 일찍 수술하는 것이 바람직합니다.
- 일부 약물치료에도 심한 심부전 증상을 보이는 어린 환자에서 보다 조기에 수술이 필요한데, 좌심장 협착성 기형이 흔히 동반되는 것으로 알려져 있습니다.
(3) 완전방실중격결손
- 조기 영아기부터 심한 심부전 증상을 보이는 경우가 많으므로 조기 수술이 필요합니다.
- 또한 폐동맥 고혈압으로 폐쇠성 폐혈관 질환의 발생을 예방하기 위해서도 조기 수술은 중요합니다.
특히 다운증후군 환자는 생후 1년 이내에도 비가역적진 폐쇠성 폐혈관 질환이 발생 할 수 있습니다.
- 과거에는 영아기에 폐동맥 밴딩술을 시행하고 교정 수술은 영아기 이후로 미루었으나, 현재는 가능한 교정수술을 시도하고 있습니다.
- 심부전 증상이 심하지 않거나 내과적 치료에 잘 반응하는 경우에는 3~6개월 경에 교정수술을 시행하고,
내과적 치료에도 심한 심부전 증상이 있는 경우에는 나이에 상관없이 교정수술을 시행합니다.
(1) 부분방실중격결손 수술
좌측 방실판막의 틈을 봉합하고 일차공 심방중격결손을 폐쇠하는것입니다.
방실판막 틈을 막기위해 먼저 생리 식염수를 좌심실에 주입하여 판막이 교합되는 모양을 관찰하고, 틈의 끝부분까지 완전히 봉합해야 잔존 혹은 재발하는 판막 역류를 예방할 수 있습니다.
유두근이 서로 가까이 있거나 유두근이 하나 밖에 없는 경우에는 일반적으로 벽엽의 크기가 작기 때문에 틈을 끝부분까지 완전히 봉합하게 되면 판막 협착이 초래될 수 있으므로 틈의 일부분을 봉합하지 않고 남겨둘 수도 있습니다.
(2) 완전방실중격결손 수술
완전방실중격결손에 대한 수술은 부분방실중격결손 수술과 비교하여 심실중격결손을 폐쇠하고 공통방실판막을 둘로 나누는 과정이 추가적으로 필요합니다.
좌측 방실판막의 틈을 봉합하고 심방중격결손을 폐쇄하는 방법은 동일합니다.
심실 및 심방중격결손을 폐쇄하는데 사용하는 첩포의 수에 따라서 1~첩포기법 , 혹은 2~첩포 기법이 있습니다.
어느 방법을 사용하든, 심실중격결손의 모양 및 크기에 맞추어 첩포를 정확히 봉합하는 것이 중요합니다.
최근에 많이 사용되는 변형 1~첩포 기법은 심실중격결손을 첩포로 막지 않고 방실 판막 조직을 심실중격능선에 직접 부착시켜 폐쇄하는 방법입니다.
(3) 방실중격결손 수술 성적 및 장기 결과
방실중격결손에 대한 수술 성적은 꾸준히 개선되어 왔습니다.
그러나 잔존 속은 재발하는 좌측 방실판막 기능, 특히 역류에 대한 재수술은 아직도 문제가 되고 있으며, 이는 환자의 예후를 결정하는 가장 중요한 요소라고 할 수 있습니다.
대혈관전위증은 심실과 대혈관의 연결이 바뀐 상태입니다. 수정대혈관전위증은 우심방이 형태학적 승모판막 및 좌심실과 연결되고 좌심실에서 폐동맥이
나오고, 반대로 좌심방은 형태학적 삼첨판막 및 우심실과 연결되면서 여기서 대동맥이 나오게 되는 선천성 심기형을 말합니다.
수정대혈관전위증은 심실과 대혈관의 연결 뿐만 아니라 심방과 심실의 연결과 불일치하는 경우를 말합니다.
완전대혈관전위증과 달리 수정대혈관전위증은 정상 혈액 순환 형태를 보입니다. 폐순환과 전신순환이 정상 심장과 비슷하게 이루어지는데
이런 의미에서 완전대혈관전위증의 '수정'된 혈액 순환 구조를 가집니다.
그러면 수정대혈관전위증 환자는 무엇이 문제일까요?
대동맥으로 혈류를 박출하는 심실이 우심실입니다. 또한 좌측 방실판막이 형태학적으로 삼첨판막입니다. 우심실과 삼첨판막은 폐순환에 적합하고,
전신순환을 위한 구조와는 차이가 있습니다. 좌심실과 승모판막과 달리 전신순환을 지속적으로 담당할 경우 심실 기능 이상이나 삼첨판막 역류가 발생 할 수 있어
결국 심부전의 위험성이 높아집니다.
수정대혈관전위증에서 흔히 동반되는 심실중격결손, 폐동맥협착이나 폐쇄, 삼첨판막 역류, 방실전도장애에 따라 다양한 증상에 나타납니다.
(1) 내과적치료
- 신생아기에 폐동맥판막폐쇄나 합착으로 인한 청색증이 있으면 프로스타글란딘을 투여하여 동맥관을 유지시켜합니다.
형태학적 우심실이 전신순환을 담당하므로 큰 심실중격결손이 동반되거나 삼첨판막 역류로 울혈성 심부전이 있는 환자에서는 강심제, 이뇨제 등의 약물 치료를 적극적으로 시행합니다.
(2) 수술적치료
일반적으로 동반 기형이 없는 선천성 수정대혈관전위는 수술 적응증이 되지 않습니다.
- 수술을 고려하는 경우
1. 심전도문제
2. 방실판막의 문제
3. 심실중격결손이나 폐동맥 협착 등의 동반기형이 있는 경우
우심실의 기능부전은 항상 고려해야 할 사항이며, 삼첨판막의 문제는 심실중격결손증과 좌심실유출로 협착과 관계없이 환자의 생존을 위협하는 요소입니다.
(3) 고식적수술
- 폐동맥밴딩술
과다 폐혈류를 보이는 환자에서 임시 방편으로 폐동맥밴딩술을 시행하여 폐혈류를 제한한다.
- 체폐동맥단락술
폐동맥협착이 심하거나 폐동맥폐쇄 환자에서 완전교정술이 어려운 경우 시행된다.
(4) 완전교정술
완전교정술은 동반기형을 교정하여 체-폐순환을 분리하고 혈류의 협착이나 역류가 최소화되도록 하는 수술입니다.
수정대혈관전위증 환자에서 완전교정술은 2가지 방법이 고려될 수 잇습니다.
(1) 고전적 교정 혹은 생리학적 교정
(2) 해부학적 교정
활로사징, 폐동맥폐쇄, 양대혈관우실기시, 총동맥간증 등 폐동맥판막이 문제가 되는 선천성심장병의 경우 수술 후 시간이 경과함에 따라
폐동맥판 삽입이 필요한 경우가 종종있습니다. 기존의 수술적인 방법 이외에 경피적폐동맥 삽입술이 각광을 받고있습니다.
활로사징 환자에서 폐동맥 판막륜 절개를 방지하기 위한 풍선을 이용한 판막 성형술

기존에 이용되던 판막

국내에서 개발된 판막
경피적폐동맥판삽입술
스텐트삽입술은 좁아진 혈관을 넓히는 시술로 주로 풍선혈관성혈술 후 다시 좁아지는 혈관의 협착에 이용됩니다.
폐동맥지협착, 대동맥축착, 우심실유출로협착, 대정맥협착 등 여러 질환에 이용되고 있다. 풍선혈관성형술로는 혈관의 재협착 현상으로 60% 정도의 성공률을 보였으나,
스텐트 치료는 시술 직후의 성공률이 94% 까지 향상될 수 있었습니다. 그러나 스텐트라는 이물질이 체내에 삽입되므로 될 수 있으면 성장이 완료된 사춘기 이후의 연령에서 시술함이 적합하겠으나
수술의 위험성이 크거나 풍선혈관성형술의 효과가 적을 것으로 기대될 때에는 어린나이에서도 시도해 볼 수 있습니다.

스텐트가 풍선도자에 장착된 상태

12mm 풍선을 부풀려 스텐트 직경을 12mm까지 늘린상태

15mm 풍선을 부풀려 스텐트 직경을 15mm까지 늘린상태

15mm 풍선을 제거 후의 스텐트
- 부정맥의 여러종류 가운데 약물 치료가 효과적이지 못하고, 근본적 치료가 어려운 경우 전극도자 절제술을 이용하여 치료합니다.
- 심장내에 여러 전극도자를 설치하고, 부정맥 발생 위치를 확인하고 전기적 에너지를 이용하여 심장 내 조직을 괴사시켜 치료를 합니다.
- 소아 환자에서는 주로 상심실성 빈맥, 심방 빈맥, 심실 빈맥 등의 환자에 시술이 이루어 지고 있습니다.

심장내 전극도자

심장내 심전도

방실 회귀성 빈맥환자에서의 전극도자 절제술
하이브리드는 '혼성체', '혼합물'의 의미를 가지는 단어로 수술적 치료와 중재적 시술을 동시에 하는 수술법을 말합니다.
일반적으로 수술과 시술의 장점을 합친 것으로 세종병원 소아심장 분야에서는 일부 활로사징 및 폐정맥 협착을 가지는 환자에서 적용 되고 있습니다.
활로사징 환자에서 폐동맥 판막륜 절개를 방지하기 위한 풍선을 이용한 판막 성형술.

활로사징 환자
반복적인 폐정맥 협착 소견을 보이는 환자에서 시행된 스텐트 삽입술

스텐스 삽입술
스텐스 삽입술
급성 열성 혈관염으로 1967년 일본에서 보고된 후로 소아연령에서 가장 흔한 후천성 심장질환이며 동양에서 높은 발병률을 보이고 있습니다.
원인은 불명이며, 지역적 및 계절적 호발 현상이 있어 감염과 연관되어 있을 것으로 추정됩니다.
주요증상
(1) 5일 이상의 발열
(2) 안구충혈
(3) 경부림프절비대
(4) 피부발진
(5) 입술과 혀의 변화
(6) 손,발의 변화

안구충혈

경부림프절 비대

입술과 혀의 변화

손, 발의 변화

피부발진
전형적인 임상 양상에 의해, 비전형적인 경우도 드물지 않아 주의히야 합니다. 이런 경우 혈액 검사 소견 및 심초음파 소견이 진단에 도움이 될 수 있습니다.
급성기에는 면역 글로블린 고용량 요법과 아스피린을 사용합니다. 발열이 감소하고 심장 초음파 검사에서 관상동맥 합병증이 없는 경우 저용량 아스피린을 6~8주 투여합니다.
관상동맥합병증은 치료 받지 않는 경우 10~20% 환자에서 발생하며, 적절한 치료를 받은 경우 5% 이내로 감소합니다.
심초음파 검사에서 좌,우 관상동맥 확장 소견이 관찰됨
관상동맥조영술 검사에서 우관상동맥이 확장성이 있음
카와사키병 환자에서 발생한 관상동맥의 합병증 치료
(1) 5mm 이상
5mm 이상의 중증도 관상동맥 확장이 발생한 경우에는 심전도, 초음파, 운동부하검사, 심금관류스캔 등의 검사가 추가로 필요하며 경우에 따라 관상동맥조영술을 통해
관상동맥의 확장 및 협착을 확인해야 합니다.

심근관류 스캔검사
(2) 8mm 이상
8mm 이상의 거대 관상동맥류가 발생한 경우, 저용량 아스피린과 항응고제 치료가 병행되어야하며 출혈 위험 때문에 격렬한 운동은 피하는 것을 권장합니다.
가와사키 환자에서 발생된 좌전하 관상동맥의 협착
관상동맥 협착 부위에 삽입된 스텐트
태아 시기에는 폐에서 가스 교환이 되는 것이 아니라 엄마의 태반을 통해 이루어 집니다.
태아의 전신 순활을 거친 산소가 고갈된 혈액이 제대동맥을 통해 태반으로 돌아오고 산소가 풍부한 혈액(산소포화도가 80~90%)이 태반에서 제대정맥을 통해 태아 몸속으로 들어갑니다.
태아의 뇌와 심장에 산소포화도가 높은 혈액이 공급되도록 디자인 되어있고 이를 위해 정맥관(5), 난원공(6), 동맥관(7)이 존재합니다.
산소포화도가 높은 제대정맥의 50~60%는 정맥관을 통해 간을 우회하여 하대정맥에 도착하고, 하대정맥의 후방 바닥으로해서 난원공을 통해 좌심방으로 넘어가게 되는데
이때 산소포화도는 65% 정도 됩니다. 이후 좌심실을 통해 상행대동맥으로 통해 뇌와 심근에 많은 산소를 공급합니다.
상대정맥혈, 관상정맥동에서 나온 혈액, 하지 및 간 순환을 거친 전신 정맥은 산소포화도가 25~40% 정도인데, 이 정맥혈은 삼첨판막을 통해 우심실로 이동하고, 12%의 혈액만이
폐순환을 거치고 나머지 88%의 혈액은 동맥관을 통해 하행대동맥으로 흐르게 됩니다. 태아의 아랫쪽 반은 산소가 부족한 혈액이 공급됩니다.

태아 혈액순환의 특징
출생직후 가스 교환의 장소가 태반에서 신상아의 폐로 전환됩니다.
태반을 통한 혈액순환이 출생 직후 중단되는데, 이는 제대혈관이 혈관의 확장과 산소분압의 상승으로 수축하는 것과 관련됩니다. 태반을 통한 혈액순환의 중단으로
정맥관과 하대정맥을 통한 혈류양이 급격하게 감소하여 출생 후 3~10일 사이에 정맥관이 막힙니다.
임신 후기 동안 폐혈관저항이 점차 감소하기 시작하여 출생직후 폐가 펴지면서 폐혈관 저항은 급격하게 감소하고 폐혈류는 8~10배 정도 증가하게 됩니다.
이러한 폐혈류 증가는 폐정맥을 통한 우심방의 혈액 양이 감소합니다. 이 두가지 변화로 우심방과 좌심방 사이의 압력이 비슷해져서 난원공 덮개가 우측 심방중격으로 밀려
심방 간의 단락이 효과적으로 폐쇄됩니다. 난원공의 일차 폐쇄는 수분에서 수시간 사이에 일어나고, 이후 주위 조직이 증식하여 난원공은 해부학적으로 완전히 막히게 됩니다.
폐혈관 저항의 감소로 동맥관을 통한 단락이 양방향성으로 변합니다. 이후 동맥관의 폐쇄에 대한 기전은 잘 알려져 있지 않지만 신생아 혈액의 산소분압의 상승과 태반에서 만들어진
PGE2의 농도가 급감함으로써 동맥관의 수축하게 되는 것으로 알려져 있습니다. 동맥관의 폐쇄는 2단계로 이루어지는데 건강한 만삭아의 경우 기능적인 폐쇄는 출생 후 96시간에
일어나고 이후 혈관 내막과 섬유조직의 증식으로 해부학적으로 완전히 막힙니다.

태아 혈액순환의 변화
1.임신전/임신 초기 검진
건강한 아기의 임신과 출산을 위해 임신 전 혹은 임신 초기에 산모의 건강상태를 검진합니다.
- 검진항목
(1) 혈액검사(빈혈, 간기능, 갑상선기능, B형 및 C형간염, 풍진항체검사, 혈액형, 매독, 에이즈검사)
(2) 요검사
(3) 자궁경부암검사
(4) 자궁 난소 초음파 검사
검사 후 산부인과 전문의 상담을 통해 각종 질환에 대해 상담하고 임신 계획을 세우고, 임신중이라면,산전 진료를 병행하게 됩니다.
2.산전 초음파 검진
산부인과 진료시 이루어지며 태아의 정상 성장 및 기형유무를 판단해 태내환경(태반, 양수 등)을 평가하기 위한 검사합니다.
특히 임신 10~12주에 태아의 목덜미 피부 두께를 재는 정밀검사와 임신 20~24주에 태아의 장기 기형 유무를 판단하는 임신중기 정밀초음파 검사, 입체초음파 검사를 하게 됩니다.
3.임심중기 기형아 검사
특별한 가족력이 없는 35세 이하의 건강한 산모인 경우 산모의 혈액 검사를 통해 다운증후군, 에드워드 증후군, 신경관 결손 증후군에 대한 검사를 시행하게 됩니다.
최근 임신 16~18주 경에 시행하고 있는 쿼드(Quad)검사의 정확도는 대략 다운증후군에 대해 75%, 에드워드 증후군 80%, 신경관 결손증후군 75~80%로 보고있습니다.
4.양수 염색체 검사
태아 염색체 이상에 대해 정확한 진단을 위해 시행하는 검사합니다. 태아의 양수를 채취해 태아의 염색체를 직접 보고 진단합니다.
임신 16~20주 사이에 시행하며 아래와 같은 경우 검사합니다.
(1)고령임신
(2)이전에 염색체 기형 태아를 분만한 경우
(3)염색체 기형 혹은 선천성 기형의 가족력이 있는 경우
(4)쿼드 검사에서 염색체 이상이 의심되는 경우
(5)태아 초음파 검사에서 염색체 기형을 의심하는 소견이 보이는 경우
5. 임신성 당뇨 검사
임신 중 발생하는 당뇨 이상을 알아보기 위한 검사합니다. 임신 24~28주에 시행하며 50g 경구 당부하검사를 시행합니다.
태아 심초음파의 적절한 검사시기 : 임신 18~22주 태아 심초음파 검사가 필요한 경우
1.산모측
(1) 산모가 당뇨병이 있는 경우
(2) 자가면역질환이 있는 경우
(3) 특정 약물을 복용 중인 경우
(3) 선천성심장병이 있는 경우
(4) 자궁 난소 초음파 검사
2.태아측
(1) 형제가 선천성심장병이 있는 경우
(2) 태아 목덜미 주위 이상이 있는 경우
(3) 태아의 다른 장기에 이상이 있는 경우
(3) 태아 감염
(4) 임신 중기에 발달 지체가 있는 경우
3.태아 심초음파 검사로 80~85%의 선천성 심장기형을 진단할 수 있습니다. 하지만 다음과 같은 제한점이 있습니다.
(1) 작은 심실중격결손과 같은 기형이나 심실유출로 기형은 진단이 어려울 수 있습니다.
(2) 이엽 대동맥판막과 같이 진행하는 경우 임신 18~20주에 진단하기 어렵습니다.
(3) 산모의 체질이나 태아의 자궁 내 위치에 따라 심초음파 진단의 제한이 있습니다.
평균 폐동맥이 휴식시 25mmHg 이상, 운동시 30mmHg 이상으로 정의하거나, 폐혈관 저항 4Wood unit 이상, 또는 폐동맥과 폐정맥 사이의
평균 압력차가 10~12mmHg 이상인 경우로 정의됩니다. 정상적으로 폐동맥의 압력은 대동맥 압력(전신혈압)의 1/5정도로 낮게 유지 되어야하는데
여러 원인에 의해 폐동맥의 압력이 높아져서 폐에 압력손상이 발생하는 경우를 말합니다.
폐 구조에 지속적으로 높은 압력이 가해질 경우, 우심실에서 폐 조직으로 충분히 혈액을 보내지 못하고 폐포와 폐혈관 사이에서 충분한 가스교환이
일어나지 못해 장기적으로 우심실 기능부전 및 부정맥 등을 유발 할 수 있습니다.

심전도의 우심실 비대 소견

양측 근위부 폐동맥 확장
(1) 운동능력 감소, 피로감 호소
(2) 흉통, 두통, 어지러움 및 실신, 말초 청색증이 나타니기도 합니다.
(3) 심박출량이 감소함에 따라 사지가 차가워지는 증상이 나타납니다.
(4) 심전도검사, 흉부단순촬영, 혈액검사, 흉부CT촬영,운동부하검사,심초음파검사,심도자검사 등을 시행합니다.
우심실 확장과 증가된 우심실 압력으로 심실중격이 좌심실로 밀리는 초음파 소견
조그만 플라스틱 튜브를 혈관에 넣어 검사하며 대부분의 환자들은 검사하는 동안 숙면을 하게 됩니다.
심도자를 동맥 혹은 정맥으로 넣어 심장에 도찰할 때까지 특수 X-ray로 관찰하게 됩니다. 심도자 검사동안 특수 조영제를 사용하게 되는데 심도자를 통해
심방, 심실, 대혈관들을 지나가게 되며 이때 이러한 움직임이 기록되고 이런 과정을 통해 심장 기형을 진단하게 됩니다.
(1) 좌심부전
(2) 폐정맥질환
(3) 좌우 단락을 가진 각종 선천성 심질환
(4) 만성폐질환
(5) 반복성 폐색전
(6) 약물 등에 의한 폐손상 및 신상아기에 보이는 지속석 폐고혈압
(7) 호흡곤란 증후군
(8) 태변 흡입 증후군
(9) 횡격막 탈장 등

심실중격결손을 완전히 막지 않고, 구멍이 뚫린 패치로 막는다.
선천성 심장병에 의해 발생된 폐동맥 고혈압이 비가역적으로 진행된 경우를 말합니다. 과거 치료가 어렵다고 생각되었던 아이젠맹거 증후군은
최근 진단 및 치료 기술의 발달로 약물치료에 반응하는 폐동맥 고혈압으로 다시 진단되고 약물 치료와 수술치료가 병행되어 호전되는 경우가 많습니다.
심근의 염증, 괴사, 근세표 용해의 소견을 보이는 질환입니다.
급성 심근염 때에는 바이러스 등에 의한 심근의 염증 반응과 세포 손상의 소견 등을 보이며, 만성인 경우 바이러스 감염 후 자가 면역 반응에 의한 심근 손상을 보이고
흔히 확장성 심근증으로 나타납니다.
(1) 발열, 호흡곤란, 청색증 등의 전신증상
(2) 심장박동의 이상
(3) 심장 확장
(4) 심근 수축력 저하
감염이 가장 중요한 원인이며, 그 중에서도 바이러스 감염이 가장 흔한 원인입니다.
원인 바이러스로는 coxachievirus, echovirus, adenovirus를 비롯하여 풍진, 수두, 홍역, HSV, 인플루엔자, 멈프스, EBV 등 여러가지 감염이 알려져 있습니다
전도장애가 심한 경우, 응급 조치로 임시 심박동기 삼입이 필요할 수 있으며 회복되지 않으면 영구 심박동기 삽입이 필요할 수 있습니다.

심근염에 의한 방실 전도 장애

심근염 환자의 흉부 X-ray
감소된 심근 수축력
심근염에 의한 심낭 삼출액
심근염 치료 방법
1. 약물 치료
이뇨제 , 강심제 , 항부정맥제
2. 기계적 순환보조장치
(1) 체외심폐순환기(ECOM)
(2) 좌심실 또는 양심실 보조기구(ventricular assist device)
3. 심장이식