대부분의 선천성 심기형은 영,유아기 시절 해결하게 됩니다. 성인 선천성 심기형 환자는, 이렇게 어린 시절에 선천성 심기형을 교정 받은 환자는 물론이고,
여러 사정으로 어린 시절에 교정 받지 못하고 성인이 될때까지 선천성 심기형이 교정되지 않은 상태로 지내는 환자 모두를 포함합니다.
온몸으로 나간 피는 다시 상대정맥, 하대정맥으로 우심방으로 들어오는, 이렇게 반복하는 것이 정상심장의 흐름입니다.
(1) 지속적으로 진료 받지 않아도 되는 환자
심방 중격 결손, 혹은 심실 중격 결손 등 단순 심기형에 대한 교정 받았던 환자
(2) 정기적으로 진료받고 상태를 점검받아야 되는 환자
- 판막 질환에 대한 교정을 받았던 환자단심실 교정을 받았던 환자
- 여성 환자들 중 임신을 계획하는 환자
(1) 심방 중격 결손, 심실 중격 결손, 동맥관 개존증
- 심한 폐동맥 고혈압
- 아이젠 맹거 증후군의 발현
(2) 활로사징증, 엡스타인 기형
- 심한 청색증 호소
사례(1)
심방중격결손을 교정 받지 않은채 살아온 54세 환자의 흉부 엑스선 사진
장기간의 좌 - 우 단락으로 인하여 폐동맥 고혈압이 심하게 진행하였고, 심장의 크기도 보통에 비하여 심하게 늘어나 있습니다.
사례(2)
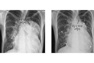
앱스타인 기형을 수술받지 않은채 살아온 54세 환자의 사진
수술 후(우측) 흉부X선 사진 비교수술 후 심장의 크기가 감소하고 있습니다.

사례(1)

사례(2)
심방 중격 결손, 심실 중격 결손, 혹은 동맥관 개존증과 같이 심장 안이나 밖에서 왼쪽 심장(체순환)에서 오른쪽 심장(폐순환)으로 혈류가 바로 흘러 버리는 단락이 지속되는 심장병을 교정하지 않고
그냥 두면, 폐동맥에 흐르는 혈류량이 증가되어 결국 폐동맥을 손상시키고, 결국 폐순환에 체순환의 혈압을 웃도는 고혈압이 생깁니다.
이렇게 되면 혈류는 전신을 돌며 산소를 공급하고 돌아온 산소가 부족한 오른쪽 심장의 혈액이 왼쪽심장으로 넘어가 산소가 부족한 피가 다시 전신을 순환하게 되므로 청색증이 생깁니다.
이러한 상황에 이르렀을때, 아이젠맹거증후군이 발생하였다고 합니다.
간혹, 아이젠멩거증후군을 진단받은 환자들 중에도 장기간의 내과적 치료후, 비가역적으로 진행되었다고 보여지는 폐동맥 고혈압에 가역성이 생기는 드문 경우가 있는데, 이러 때 수술적 치료를 시도하기도 합니다.

단심실을 가진 환아들에게 최종적으로 시행하는 수술을 폰탄수술(Fontan operation)이라고 합니다.
두 개의 혈액순환을 담당해야 할 펌프가 하나밖에 없으므로, 이 하나의 펌프로는 전신으로 혈액을 공급하는 역할을 담당하게 합니다. 이렇게 되면 폐순환을 담당할 펌프가 없으므로, 전신을 순환하고 온 혈액이 심장을 거치지 않고 바로 폐로 흘러갈 수 있도록 새로운 길을 만들어주는 수술이 폰탄 수술이라고 이해하면 됩니다.
폰탄수술을 받기 위해서는 총 3번에 수술이 필요합니다.
(1) 1차 수술 : 신생아기 (적절한 폐혈류량을 유지하기 위함)
(2) 2차 수술 : 생후 6개월~1년사이
(3) 폰탄수술 : 2~3세경
신생아기에 적절한 폐혈류량이 유지되는 경우에는 1차 수술이 생략되는 경우도 있습니다. 이와 같이 단심실의 치료에는 많은 시간 및 여러번의 수술이 필요하고, 수술 시기를 놓치는 경우 폰탄수술이 불가능한 경우도 있으므로 부모의 인내심 및 의료진과의 적극적인 협조가 반드시 필요합니다.
(1) 폰탄수술을 받은 연령(16개월 ~ 36개월)
- 병원사망률 3% , 만기사망률 3.6%
- 10년 생존율 92%
- 10년동안 재수술 하지 않을 가능성 82%
- 10년동안 부정맥이 없을 가능성 85%
- 일상 활동 제한이 없는 상태 95%
(2) 폰탄수술 후 발생할 수 있는 합병증
- 혈전색전증
- 단백-소실 장염
- 부정맥
- 심실기능 저하
- 운동능력 감소
(1) 폰탄수술이 완벽한 수술이 아님을 알아야합니다. 하지만 폰탄수술을 받은 환자 대부분은 일상생활 및 학업 수행에도 큰 문제가 없는 것으로 알려져 있습니다.
(2) 대부분의 환자에서 오랜기간 동안 약물 치료가 필요합니다.
(3) 적당한 운동이 필요하지만 과격하고 경쟁적인 운동은 제한해야 합니다.
(4) 혈액검사, 심전도검사, 24시간 홀트검사, 심장초음파 검사, 심혈관 도자술 검사, 심장 MRI 검사, 운동능력 검사등을 정기적으로 받아야 합니다.
(5) 폰탄수술을 받은 여자 환자에서 임신이나 출산은 가능하나 환자의 상태를 정확하게 평가 할 수 있는 소아 심장 전문의와의 상의가 필수적입니다.
소아심장병, 선천성심장병이라고도 불리는 이 질병은 태아가 산모의 뱃속에서부터 여러가지 요인에 의해 심혈관질환이 생겨 출생시 이미 심장병을 가지고 태어나는 것을 말합니다.
통계에 의하면 1,000명의 신생아 중 약 6~8명이 이 병을 가지고 세상에 태어납니다.
불과 20여년 전만 해도 이는 난치병으로 인식되었으며 실제로 수술 성공률도 높지 않았으나 현재는 수술 성공률이 99%가 될 정도로 수술 및 치료법이 발달했고 이들 중
많은 수에서 거의 완치가 가능한 질병입니다.
(1) 임신
임신 중 태아의 심장병을 알 수 있습니다. 일반적으로 임신 16주~24주 사이 태아의 심장초음파 검사가 가능합니다.그러나 태아 심장초음파를 통하여 모든 심질환의 진단이
가능한 것은 아니며, 출생 후 변화가 이루어 지는 동맥관, 심방죽격결손등은 예측이 어려우며, 작은 심실중격결손 또는 경한 폐동맥 협착, 대동맥궁 이상, 폐정맥 기형 등은 진단이
어려울 수 있습니다.
Q : 부모 및 형제가 심질환시 태아의 발생 확률은 얼마인가요?
A : 일반적으로 선천성 심장질환의 발생률은 0.8~1%로 추정되고 있습니다. 그러나 부모 및 형제가 심질환을 가지는 경우 새로 출생하는 태아는 2~6%의 발생률을 가지게 됩니다.
근래 태아 심초음파 검사의 발달로 대부분의 심기형을 태아 중기부터 진단할 수 있습니다.
(2) 임신시 고려할 점
임신을 계획하기 전에 산모의 심혈관계 위험성에 대하여 정확하게 판단한 후 가족들과 함께 상담하는 것이 필요합니다.
선천성 심질환을 가진 환자들의 경우 일반적으로 유산률이 약간 높은편이며, 모체의 임신성 고혈압 및 자간증 발생률이 약간 높은편입니다.
또한 임신 유지가 어려워 미숙아를 출산하는 경우도 많으며, 분만이후에도 산후 출혈 과다 및 혈전증이나 색전증이 발생하는 경우 등이 산모의 상태에 따라서 다양한 정도로
발생할 수 있어서 이러한 산과적 위험 요소에 대한 적절한 상담과 관리 및 대비책 마련이 필요합니다.
(3) 임신기간 중 경과관찰
선천성 심질환 산모들의 경우 임신과 관련한 혈역학적 변화로 인하여 심부전의 발생, 청색증 악화, 판막 및 심실 기능의 악화 등이 나타날 수 있으며, 부정맥이 발생하는 경우도 있습니다.
또한 Marfan 증후군 환자에서는 대동맥 궁이 임신기간중 늘어나는 경우가 있어서 조심스러운 관찰이 필요합니다.
항응고제 사용이 필요한 산모의 경우 임신 초기에는 태아 기형 유발과 관련이 있을 수 있는 항응고제 사용을 중단하고 다른 제제로 변경하는 과정이 필요합니다.
또한 분만 전에도 다시 항응고제 변경을 위하여 입원 치료가 필요합니다.
(1) 출산
신생아 출생 후 상황에 따라 응급처치가 필요할 수 있고 타병원으로 이송 자체가 위험할 수 있기 때문에 심장 질환이 의심되는 태아는 응급 심장 초음파 검사와 수술을
포함한 치료가 가능한 병원에서 출산하는 것이 안전합니다.
(2) 분만시 고려할 점
위험도가 높지 않다고 판단되는 경우에는 일반적인 질식 분만을 시행하여도 괜찮습니다.하지만, 중등도 이상의 위험성이 있다고 판단되는 경우에는 고위험 산과 전문의,중환자실,
산과 마취 전문의, 신생아 전문의가 협진 가능한 곳에서 분만하는 것이 필요합니다.
산모의 진통과정으로 인한 혈역학적 위험성이 높다고 판단되면 계획된 제왕절개술을 시행하는 것이 필요할 수 있습니다.
심장은 전기적 신호로 발생하는 자극을 통해 수축과 이완을 하며 온몸에 혈액을 공급합니다.
이때 전기적 신호의 전달에 이상이 생겨 심장박동이 불규칙하게 되는 현상이 나타나는데, 이것이 바로 부정맥입니다.
심장박동수는 맥박으로 체크할 수 있는데, 정상적인 맥박은 보통 1분에 60~100번을 뜁니다. 부정맥은 맥박이 불규칙하게 뛰는 것과 맥박이 100회를 넘는 '빈맥'
60회 미만인'서맥'으로 나뉩니다.
(1) 빈맥
- 전기 신호가 만들어져서는 안되는 심장조직에서 비정삭적으로 빠른 전기 신호가 만들어져 발생
- 증상 : 두근거림, 흉부 불편감, 호흡곤란
(2) 서맥
- 서맥은 정상적으로 심장의 전기 신호가 만들어져야 하는 동결절에서 전기 신호를 정상적으로 만들지 못하거나, 전기 신호가 전달되는 전도로가 차단되어 발생
- 증상 : 어지러움, 실신, 호흡곤란, 운동 능력 저하 등
사람마다 또 환자가 가지고 있는 구조적 이상에 따라 증상 차이가 많습니다. 어떤 사람은 부정맥 증상이 없을 수도 있고, 심한 경우는 처음 나타나는 증상이 급사로
나타날 수도 있습니다. 다음은 부정맥이 발생하였을때 나타날 수 있는 대표적인 증상들입니다.
(1) 두근거림(심계항진)
일반적으로 사람들은 자기 자신의 심박동을 인지하지 못합니다. 갑자기 어떤 일로 놀랐을 때처럼, 부정맥의 종류에 따라 빠르거나 느린 심박동을 본인이 느끼는 것입니다.
(2) 맥이 빠짐
부정맥이 갑자기 짧게 나타날 경우 환자들은 맥박이 한두 번 갑자기 건너뛰거나 빠진 듯한 느낌이 들 수 있습니다.
(3) 가슴통증, 흉부 불쾌감
부정맥이 갑자기 나타나는 경우 환자들은 가슴의 통증이나 불쾌감을 느낄 수 있습니다. 한편, 부정맥이 협심증이나 심근경색 등 심장의 혈액순환장애로 인해 발생하는 경우에는
협심증이나 심근경색 자체로 인해 가슴을 심하게 조이는 듯한 뻐근한 흉통을 느끼기도 합니다.
(4)호흡곤란
부정맥이 나타날 때 환자는 갑자기 숨을 쉬기 힘들어지는 느낌이 들 수 있으며, 경우에 따라서는 실제로 호흡곤란이 발생할 수도 있습니다.
(5) 급사
부정맥이 심하게 나타나서 심장이 제대로 혈액을 내보내지 못하는 상황이 발생하거나 심정지가 발생할 경우 환자가 사망할 수도 있습니다.
(1) 전기 생리할 검사 및 고주파 전극도자 절제술
- 대상 : 발작성 심실상성 빈맥, 심방빈맥, 심실빈맥, 심방조동 및 심방세동 환자
- 국소마취하에 사타구니 근처 혈관을 통해 시술하며 95% 이상의 높은 성공률
- 세종병원은 3차원 동영상 측량기구인 Ensite system을 도입하여 난치성 부정맥 환자들(심방세동, 심실빈맥) 의 치료에 적극 활용하고 있습니다.
(2) 이식형 제세동기 삽입
- 대상 : 심인성 급사의 위험이 높은 환자
- 심실빈맥 및 심실세동으로 인한 급사의 위험성 크게 감소
(3) 인공심박동기 삼입
- 대상 : 서맥환자
- 대개 국소마취하에 쇄골하 부위에 이식함
(4) 심장 재동기 시술
- 대상 : 약물치료에 반응하지 않는 심부전 환자
- 세종병원은 심부전 전문의, 심장영상전문의들과 함께 긴밀한 협진으로 관리하고 있습니다.
평균 폐동맥이 휴식시 25mmHg 이상, 운동시 30mmHg 이상으로 정의하거나, 폐혈관 저항 4Wood unit 이상, 또는 폐동맥과 폐정맥 사이의
평균 압력차가 10~12mmHg 이상인 경우로 정의됩니다. 정상적으로 폐동맥의 압력은 대동맥 압력(전신혈압)의 1/5정도로 낮게 유지 되어야하는데
여러 원인에 의해 폐동맥의 압력이 높아져서 폐에 압력손상이 발생하는 경우를 말합니다.
폐 구조에 지속적으로 높은 압력이 가해질 경우, 우심실에서 폐 조직으로 충분히 혈액을 보내지 못하고 폐포와 폐혈관 사이에서 충분한 가스교환이
일어나지 못해 장기적으로 우심실 기능부전 및 부정맥 등을 유발 할 수 있습니다.
(기존 아이심장 페이지 - 폐동맥고혈압 - 심전도의 우심실 비대소견, 폐동맥확장 사진 추가 요청드립니다.)
(1) 운동능력 감소, 피로감 호소
(2) 흉통, 두통, 어지러움 및 실신, 말초 청색증이 나타니기도 합니다.
(3) 심박출량이 감소함에 따라 사지가 차가워지는 증상이 나타납니다.
(4) 심전도검사, 흉부단순촬영, 혈액검사, 흉부CT촬영,운동부하검사,심초음파검사,심도자검사 등을 시행합니다.
(기존 아이심장 페이지 - 폐동맥고혈압 - 증상 및 진단, 치료 영상 추가 요청드립니다.)
조그만 플라스틱 튜브를 혈관에 넣어 검사하며 대부분의 환자들은 검사하는 동안 숙면을 하게 됩니다.
심도자를 동맥 혹은 정맥으로 넣어 심장에 도찰할 때까지 특수 X-ray로 관찰하게 됩니다. 심도자 검사동안 특수 조영제를 사용하게 되는데 심도자를 통해
심방, 심실, 대혈관들을 지나가게 되며 이때 이러한 움직임이 기록되고 이런 과정을 통해 심장 기형을 진단하게 됩니다.
(1) 좌심부전
(2) 폐정맥질환
(3) 좌우 단락을 가진 각종 선천성 심질환
(4) 만성폐질환
(5) 반복성 폐색전
(6) 약물 등에 의한 폐손상 및 신상아기에 보이는 지속석 폐고혈압
(7) 호흡곤란 증후군
(8) 태변 흡입 증후군
(9) 횡격막 탈장 등
(기존 아이심장 페이지 - 폐동맥고혈압 - 1차성 폐동맥 고혈압에 사진 과 영상 추가 요청드립니다.)
선천성 심장병에 의해 발생된 폐동맥 고혈압이 비가역적으로 진행된 경우를 말합니다. 과거 치료가 어렵다고 생각되었던 아이젠맹거 증후군은
최근 진단 및 치료 기술의 발달로 약물치료에 반응하는 폐동맥 고혈압으로 다시 진단되고 약물 치료와 수술치료가 병행되어 호전되는 경우가 많습니다.
심근의 염증, 괴사, 근세표 용해의 소견을 보이는 질환입니다.
급성 심근염 때에는 바이러스 등에 의한 심근의 염증 반응과 세포 손상의 소견 등을 보이며, 만성인 경우 바이러스 감염 후 자가 면역 반응에 의한 심근 손상을 보이고
흔히 확장성 심근증으로 나타납니다.
(1) 발열, 호흡곤란, 청색증 등의 전신증상
(2) 심장박동의 이상
(3) 심장 확장
(4) 심근 수축력 저하
감염이 가장 중요한 원인이며, 그 중에서도 바이러스 감염이 가장 흔한 원인입니다.
원인 바이러스로는 coxachievirus, echovirus, adenovirus를 비롯하여 풍진, 수두, 홍역, HSV, 인플루엔자, 멈프스, EBV 등 여러가지 감염이 알려져 있습니다
전도장애가 심한 경우, 응급 조치로 임시 심박동기 삼입이 필요할 수 있으며 회복되지 않으면 영구 심박동기 삽입이 필요할 수 있습니다.
(기존 아이심장 페이지 - 아이/태아심장 - 심근염 및 심근증 - 1.심근염에 의한 방실 전도장애 , 2. 심근염 환자의 흉부 X-ray 사진 추가 요청드립니다)
(기존 아이심장 페이지 - 아이/태아심장 - 심근염 및 심근증 - 1.감소된 심근 수축력 , 2. 심근염에 의한 심낭 삼출액 영상 추가 요청드립니다)
심근염 치료 방법
1. 약물 치료
이뇨제 , 강심제 , 항부정맥제
2. 기계적 순환보조장치
(1) 체외심폐순환기(ECOM)
(2) 좌심실 또는 양심실 보조기구(ventricular assist device)
3. 심장이식